前牙開咬 Anterior Open Bite
By - February 13,2017
前牙開咬,對於許多人來說是種不討喜的咬合。一方面牙齒無法緊閉,說話一不小心就容易漏風,好像大舌頭;一方面嘴巴不易閉合,常常需要用到下巴的頦肌 ( mentalis muscle ),看起來好像在生氣。
所以在經驗上,這種咬合的人會很早就接受牙齒矯正治療。許多矯正醫師認為前牙開咬 ( anterior open bite ) 的復發率蠻高的,所以這種情況的矯正並不好做。

H 小姐即是一個例子。以前曾經為了前牙開咬做過矯正,剛矯正完時咬合正常,沒想到過一陣子前面門齒又咬不到,本來考慮再做一次矯正,後來聽矯正醫師說復發機率高,而且 H 小姐也想改善 正面臉型偏長 及下巴後縮的問題,經過 3D simulation,利用上下顎骨旋轉方式 ( Distal Segment Counter-Clockwise Rotation ) 將之前造成後牙干擾 ( Premature Contact ) 的因素移除,再搭配下巴成形術
術後不到一年矯正就完成,本來她很擔心會不會拆了矯正器又 Open 了,經過一段時間追蹤觀察,她終於相信這次的改善是永遠的了!

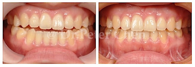
療程效果因人而異,上圖為該案例實際術後成效

療程效果因人而異,上圖為該案例實際術後成效

療程效果因人而異,上圖為該案例實際術後成效

療程效果因人而異,上圖為該案例實際術後成效